Что стоит за появлением налета на зубах и как его избежать?

Что стоит за появлением налета на зубах и как его избежать?

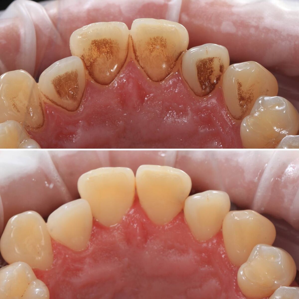
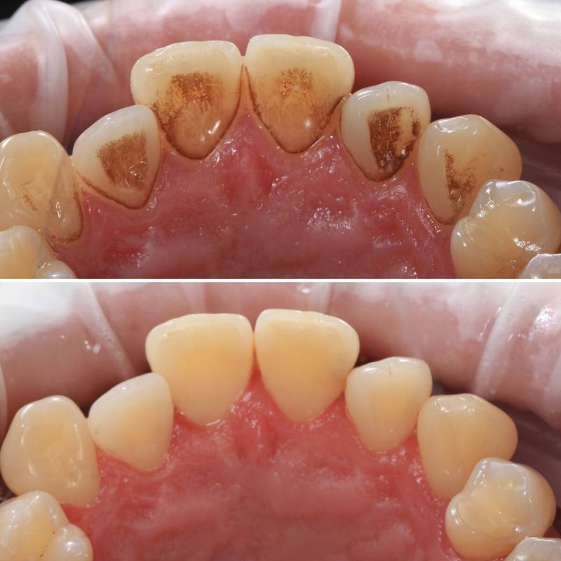
Налет на зубах может иметь желтоватый или темный оттенок, и это часто связано с недостаточной гигиеной полости рта. Такие привычки, как употребление чая, кофе и курение, а также влияние пищевых пигментов, могут способствовать потемнению эмали зубов. Однако это явление не всегда является неизбежностью.

Причины налета на зубах

Основные причины появления налета включают:

  • Недостаточная чистка зубов, при которой налет накапливается в труднодоступных местах, таких как внутренние поверхности зубов или в трещинах и ямках.
  • Употребление красящих продуктов и напитков, поскольку углеродная пленка на поверхность зубов может поглощать пигменты, что приводит к образованию налета.

Как поддерживать чистоту зубов?

Чтобы сохранить белизну и здоровье зубов, стоит уделять внимание не только ежедневной гигиене, но и регулярным профессиональным очисткам. Специалисты рекомендуют:

  • Использовать качественные зубные пасты, которые специально разработаны для устранения налета и укрепления эмали.
  • Посетить стоматолога для профессиональной гигиены полости рта минимум дважды в год.

Таким образом, правильный подход к гигиене поможет избежать многих проблем, связанных с налетом на зубах и сохранит их здоровье на протяжении многих лет.

Источник: Иннова Клиник

Лента новостей